VOTRE SPÉCIALISTE

EN PROTHÈSE DENTAIRE

MON ESPACE

Produits

PMMA traditionnelle

PMMA traditionnellePMMA traditionnellePMMA traditionnelle

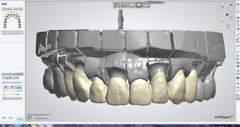
Nos prothèses provisoires fixées sont réalisées en CAD/CAM.

Après avoir scanné les modèles, les restaurations PMMA sont modélisées par nos techniciens et usinées au laboratoire.

Le matériau PMMA est indiqué pour la réalisation de couronnes et bridges provisoires, ainsi que pour la confection d'attelles.